主治醫師-陳品熹
杜小姐

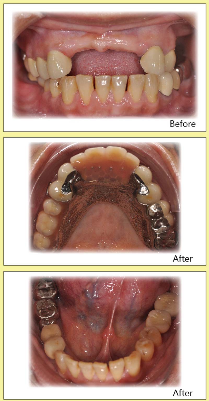
症狀:
- 門牙外觀改善
- 長牙橋清潔不易
療程:
- 活動假牙
- 局部矯正
- 人工植牙
患者的話:
其實我很怕看牙,主要是因為朋友介紹才來找陳院長看診,醫師看診非常細心和耐心,助理小姐也會全程在旁邊陪同,讓我不會害怕看牙,現在牙齒都已經治療完成,我終於可以享受任何的美食,謝謝陳院長、助理們讓我有擁有一口好牙。
醫師治療建議:
因患門牙缺牙及後牙是長牙橋,故美觀及清潔上常常造成困擾。故建議患者拆除長牙橋,另外缺牙處以人工植牙的方式恢復牙齒的的外觀跟功能。但患者因經濟上的考量決定上排牙齒以活動假牙恢復牙齒的功能及外觀,下排牙齒做完局部矯正後再做人工植牙來恢復下排牙齒的功能及外觀。
