美容牙科
牙齒美白是什麼?

現代人對於牙齒的要求,不再只是病理性或功能性,若能夠擁有一口潔白亮麗的牙齒,不僅為整體容貌加分,亦可增加自信。
不論是何種美白牙齒的方式,施作前需先至牙醫診所請專業牙醫師檢查、評估,確認牙齒變黃的狀況是先天內因性還是後天飲食造成的染色,以及是否有其他牙齒疾病,如蛀牙、牙周病、敏感性牙齒等..並避免在牙齒有狀況時進行美白,導致疾病狀況惡化。
若不清楚適合哪種美白方式,可透由牙醫師評估後再執行,可避免美白後造成牙齒敏感,才能安全又有效的擁有一口透亮白的牙齒。
牙齒美白有哪幾種方式?
噴砂美白(維持3-6個月)
是一種類似洗牙的物理美白方式,清除、淡化牙齒外因性的染色。(Ex.咖啡垢、茶垢、菸垢、檳榔垢等)均能有效處理。
冷光美白(維持1~2年)
使用醫療級的藥劑,再配合高強度藍光,讓美白藥劑深入牙齒內部作用,打斷色素的碳環結構,達到美白效果。
療程時間短,可搭配居家美白,保持、延續美白效果!(因每個人條件及最白齒色限度不同,故效果也會不同)
本診所使用WHITEsmile fläsh美白機,經特殊光照在牙齒內部產生連鎖氧化反應使色素有機化合物轉化為無色化合物。
遠比一般的LED燈更持續、強效、穿透力!(冷光美白後的牙齒結構經顯微鏡觀察並無太大改變,臨床長期追蹤亦無造成齒質破壞情形!是一種安全的美白方式。)
居家美白
是透過簡單的過氧化物美白,診所將為您製作專屬的個人牙托,不同的是將有美白成份的凝膠擠在牙托上,即可在家輕鬆美白!(正確配合使用居家美白可維持甚至提高牙齒色調,是許多人保持牙齒白淨的小秘密哦)
全瓷牙冠
全瓷牙冠和金屬融合瓷牙外觀看起來都是瓷牙,但美觀的呈現及人體相容性是明顯不同的,全瓷冠壽命更長,看起來也更自然。
全瓷牙冠的接受度在近幾年來有愈來愈高的趨勢,主要是因為全瓷牙冠是由全陶瓷所構成,內層完全無金屬支撐,因此光線的折射、透射效果和自然牙相仿,假牙看起來不會暗沈死白,和真牙幾可相仿。
另外全瓷牙冠的陶瓷材質人體相容性高,不會有金屬冷熱傳導造成牙齒敏感現象,或者像金屬融合瓷牙使用幾年之後在靠近牙肉邊緣牙齦變黑的情形。
全瓷冠優點
全瓷冠的主要優點包括:全時牙冠可以表現出幾乎與自然牙一樣的美觀效果;此外全瓷冠的人體相容性高﹐不會造成過敏症狀;全瓷牙冠不會產生金屬電位差使得牙齒有敏感現象。
傳統的全瓷牙主要成分是玻璃陶瓷﹐它的強度遠不及金屬﹐所以僅能用於前牙區﹐二氧化鋯的硬度極高﹐可以承受牙齒咀嚼的力量﹐能用於前牙及後牙區。
全瓷冠與傳統金屬牙冠比較
| 假牙內冠比較表 | 傳統金屬 | 全瓷牙冠 |
|---|---|---|
| 內冠 | 金屬(鈦金屬、黃金) | 二氧化鋯瓷塊 |
| 透明度 | 較差 | 較佳 |
| 自然色澤 | 較差 | 較佳 |
| 牙齒暗色陰影 | 有 | 沒有 |
| 適用於 | 後牙區 | 前牙或是微笑曲線所露出的牙齒 |
何謂美容貼片?
全瓷貼片就是在輕微斷裂、蛀蝕或顏色異常的牙齒黏合上薄薄的瓷片;其製作步驟是將牙齒的表面磨掉一層,再利用酸蝕粘合的技術,將0.3至0.5mm的瓷片,以特殊高強度黏合劑將瓷片黏著在牙齒表面上。
瓷牙貼片能夠微調牙齒的形狀、排列、長度還有顏色,達到牙齒整齊和美白的效果。由於全瓷貼片是半透明的材質,黏貼在牙齒後會透出自然牙的色澤,非常美觀自然,完全看不出有人工痕跡,對於希望擁有一口迷人微笑的患者是最佳選擇。
裝戴全瓷貼片後的牙齒,應避免啃咬硬物;若夜間有磨牙習慣,建議可以配戴「夜間牙齒護套」,避免全瓷貼片有碎裂的情況發生。(即使是原生牙也不建議啃咬硬物,一樣會有斷裂情況發生)

哪些人能做全瓷貼片?
- 四環素牙染色
- 跌倒外傷折裂
- 牙齒形狀不美觀,例如過小牙,錐形牙(虎牙)
- 牙齒之間間隙過大,又不想做牙齒矯正
- 天生齒色較黃,做了冷光美白依然不滿意者
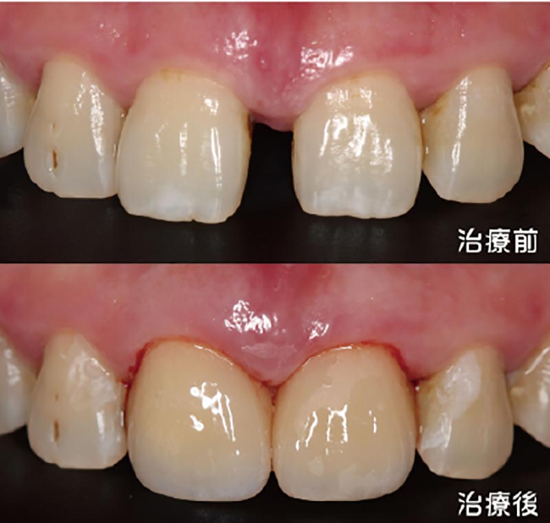
實際案例分享






Q&A
Q:我知道全瓷貼片比較好,不能用樹脂貼片嗎?
A:樹脂貼片的缺點是容易染色、斷裂、不密合而導致牙周問題,這些狀況全瓷貼片都不會有這問題產生,一般好的全陶瓷牙貼片因為製作難度性高,價格也相對高,但優點是一勞永逸,且跟人體的相容性高,比較沒有其它種貼片材質可能引起的副作用。
我們所有瓷塊皆為國外進口,每一個瓷塊都是單獨的,再經由數位全瓷假牙設計中心團隊設計和德國vhf研磨機製作,在製作上會遠比樹脂貼片還得更加堅固、美觀。
Q:有了全瓷貼片,我可以吃硬的食物嗎,像是甲殼類或是堅果類食物?
A:全瓷貼片的硬度跟我們本身的牙齒的硬度是一樣的喔!基本上正常飲食都不會導致全瓷貼片的受損,但例如:芭樂籽、瓜子....即使是真牙吃過可能也會造成牙齒斷裂,所以過於堅硬的食物盡量還是避免,以強壯的後牙取代門牙。即使是真牙吃過於堅硬的食物也有可能會造成牙齒斷裂,不建議吃太堅硬食物。
Q:全瓷貼片的使用年限又是多長呢,是不是很難保養?
A:原則上貼片在文獻上指出可以使用十年至十五年以上,但會根據每個人的生活習慣以及定期檢查有所增減,而製作完全瓷貼片後,我們會給予夜間牙齒護套,避免睡眠時磨牙造上全瓷貼片磨損、碎裂的情況產生。